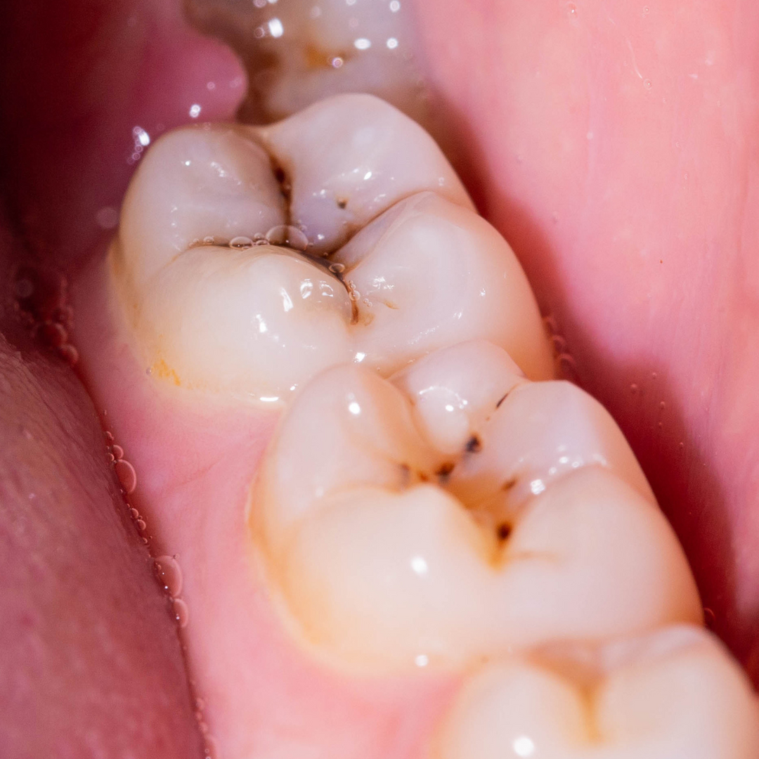
Cavities are the result of a combination of factors primarily influenced by oral hygiene, dietary habits, and bacterial activity within the mouth. Understanding these contributing causes is fundamental in preventing cavity formation and maintaining good oral health.
- One of the causes of cavities is bacteria. The human mouth hosts numerous types of bacteria, some of which form a sticky biofilm called plaque, which forms on tooth surfaces. These bacteria thrive on sugars and carbohydrates from food remnants left in the mouth after eating. As bacteria feed on these sugars, they produce acids that can erode the protective enamel layer of teeth, leading to cavity formation.
- Diet is the next most common cause in cavity development. Frequent consumption of sugary or acidic foods and beverages heightens the risk. Sugary treats, sodas, candies, and even natural sugars found in fruits can feed the bacteria in our mouth, promoting acid production and enamel erosion. Acidic foods and drinks can directly weaken enamel, making teeth more susceptible to decay.
- Inadequate oral hygiene practices significantly contribute to cavities. Poor flossing and brushing habits allow plaque to accumulate on your teeth, providing a breeding ground for harmful bacteria. When plaque is not regularly removed, it hardens into tartar, increasing the risk of decay and gum disease.
- Conditions that lead to reduced saliva production, such as certain medications, medical treatments, or health issues, can contribute to cavity formation. Saliva plays a crucial role in neutralizing acids in the mouth and aiding in the remineralization of enamel. Reduced saliva flow diminishes the mouth's natural defense mechanism against cavities.
Overall, a combination of factors including bacterial presence, dietary choices high in sugars and acids, inadequate oral hygiene, and reduced saliva flow collectively contribute to the development of cavities. Preventive measures targeting these causes are pivotal in maintaining optimal oral health and preventing dental decay. Regular flossing, brushing, a balanced diet, and routine dental check-ups are essential in preventing cavities and preserving a healthy smile.

